• Sobre Nós
  • Casos Clínicos
  • Contactos
Marcar Consulta
  • Home
  • Casos Clínicos
  • Sobre Nós
  • Media
  • Contactos
Marcar Consulta
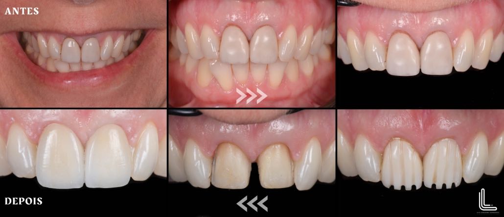
Facetas Cerâmicas

Caso 3

Marcar Consulta
Casos Clínicos
  • Prótese Total Fixa
  • Coroas Cerâmicas
  • Facetas Cerâmicas
  • Restaurações Estéticas
  • Implantes Dentários
  • Ortodontia Invisível
Sobre
  • Sobre Nós
  • Media
  • Contactos

©2025 Your Dental – Política de Privacidade