• Sobre Nós
  • Casos Clínicos
  • Contactos
Marcar Consulta
  • Home
  • Casos Clínicos
  • Sobre Nós
  • Media
  • Contactos
Marcar Consulta

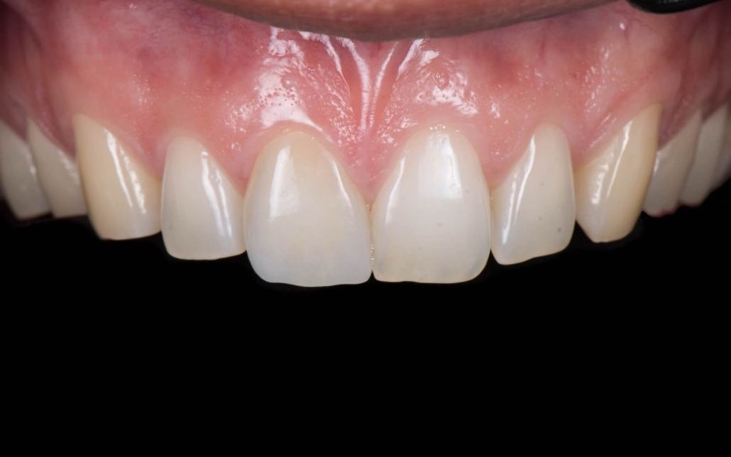
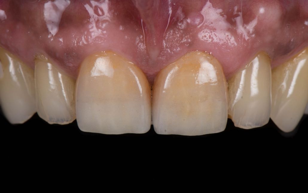
Facetas Cerâmicas

Uma faceta é uma peça muito fina de cerâmica, acrílico ou compósito usada para recriar de maneira conservadora a aparência natural dos dentes.

Uma faceta é uma peça muito fina de cerâmica, acrílico ou compósito usada para recriar de maneira conservadora a aparência natural dos dentes.

Marcar Consulta

A finalidade da faceta dentária é promover a função, fonética e estética, sendo, por isso, indicada para corrigir casos com dentição íntegra e preferencialmente vital (hígida), com alteração da forma, cor e textura, e em alguns casos da sua posição na arcada dentária.

Podem ser feitas de acrílico, compósito ou cerâmica, mediante indicações específicas, garantindo um efeito estético muito natural, pela semelhança deste material ao esmalte dentário. Ao contrário da coroa, que reveste o dente na íntegra, esta solução cobre apenas a parte externa e visível do dente.

Casos Clínicos

  • Caso 1
  • Caso 2
  • Caso 3

A arte de criar sorrisos.

Marcar Consulta
Casos Clínicos
  • Prótese Total Fixa
  • Coroas Cerâmicas
  • Facetas Cerâmicas
  • Restaurações Estéticas
  • Implantes Dentários
  • Ortodontia Invisível
Sobre
  • Sobre Nós
  • Media
  • Contactos

©2025 Your Dental – Política de Privacidade